Man with a tiny brain
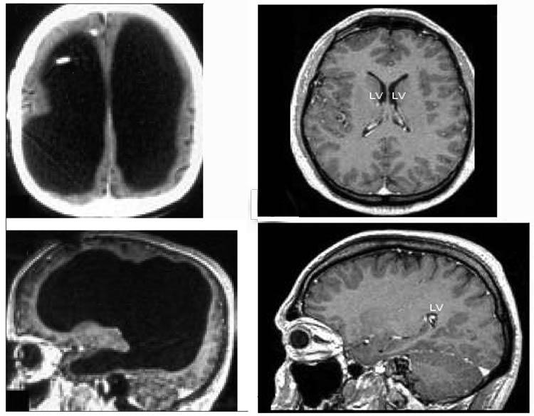
No, I'm not insulting anyone. This has really shown up in a medical study. This guy has a tiny brain. In fact, doctors estimate he's had a 50-75% reduction in brain volume, which has been replaced with fluid.
How did this happen?
How did this happen?
Apparently he had a shunt inserted when he was 14 to reduce a condition known as hydrocephalus, or "water on the brain." Once that shunt was removed, for whatever reason, the tiny chambers that hold cerebrospinal fluid (which cushions the brain) underwent massive expansion over the many years until it reached his condition today.
http://www.newscientist.com/article/dn12301-man-with-tiny-brain-shocks-doctors.html
http://www.newscientist.com/article/dn12301-man-with-tiny-brain-shocks-doctors.html
He has lived an entirely normal life and is now 44 years old. There were no outward signs of this condition, and it was only discovered during an examination that started because of mild weakness in one of his legs.
On the left is the scan of this man's brain, while on the right is what a normal brain looks like.

Astounding, no? Doctors are saying this is a prime example of brain plasticity, where the brain adapts to damage by adjusting different parts of itself to handle various functions that it wasn't originally intended to do.
I think this is way cool. To see something most people would have considered entirely impossible be a reality...I don't know why it grabs me as it does, but it shows how flexible our bodies can be and how much there is to them that we may never have discovered.
I see that smile.

2 Comments:
HHHHMMM.
So, how could this work in a plot line?
Holy cows and horses. That's freakin' cool!
Post a Comment
<< Home